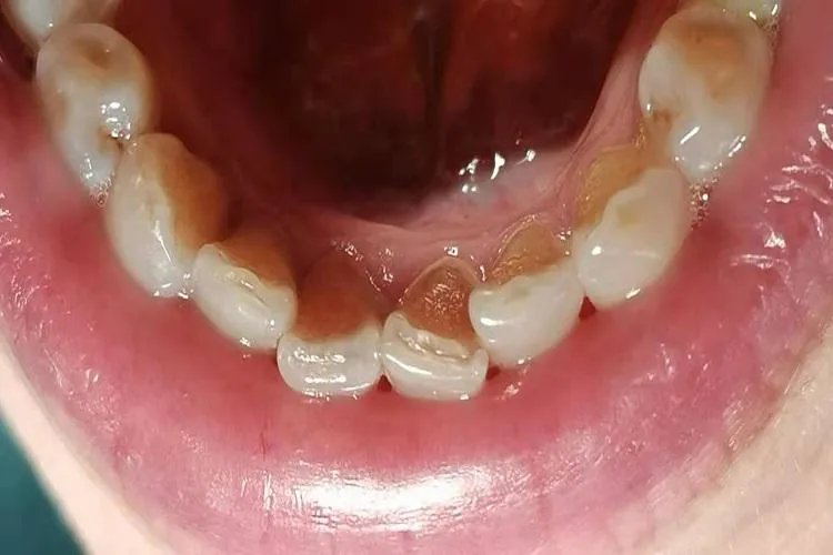
概述牙石是沉积在牙面或修复体上已钙化或正在钙化的菌斑及沉淀物,分为龈上和龈下牙石。龈上牙石呈黄色或白色,体积较大,龈下牙石呈褐色或黑色,较龈上牙石面积大而硬。症状牙石是沉积在牙面或修复体上已钙化或正在钙化的菌斑及沉淀物,由唾液或龈沟液中的矿物盐逐渐沉积而成,分为龈上牙石和龈下牙石。龈上牙石一般沉积在临床牙冠,直接可看到的牙石称为龈上牙石,其呈黄或白色,亦可因吸烟或食物着色而呈深色。一般体积较大,尤其是在与唾液腺导管开口相应处的牙面上沉积更多,如上颌第一磨牙颊面和下颌前牙的舌面。

龈下牙石在龈缘以下的牙面上,肉眼看不到,需深针才能查到的称为龈下牙石,有时在X线片上也可见。龈下牙石呈褐色或黑色,较龈上牙石体积小而硬,一般与牙面的附着比龈上牙石更牢固。龈下牙石见于大多数牙周袋内,通常从釉牙骨质界延伸至袋底附近。

病因牙石是由于食物残渣、唾液中的矿物质,在菌斑的酸蚀作用下堆积、附着在牙齿上、龈上、龈下的一种衍生物,不易脱落。其形成原因与唾液成分、饮食习惯和口腔卫生习惯等因素有关。牙结石易导致牙龈炎、牙周病、牙齿松动甚至脱落。治疗除平时需做好清洁口腔外,还可以采取超声波治疗,可分为龈上洁治术和龈下洁治术。龈上洁治术是用龈上洁治器去除龈上牙石和菌斑,并磨光牙面,防止菌斑和牙石再次沉积,防治牙周病的措施。龈下洁治术是用龈下刮治器刮除位于牙袋内牙根面上的牙石和菌斑。
