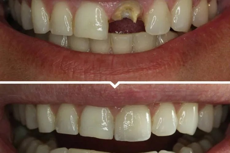
概述烤瓷牙可用于修复缺失天然牙,修复后外观逼真,具有天然牙的透明度,表面光滑,能够恢复形态与功能,注意定期复诊、维护。前后对比在做烤瓷牙前,会有牙齿缺失或缺损的情况,影响美观、发音等。做完烤瓷牙后,修复缺失天然牙,会恢复其形态与功能,具有类似天然牙的透明度、颜色,表面光滑,帮助解决牙齿美观、咬(牙合)、发音等问题。烤瓷牙具有抗折力强且耐磨性强,不会变形,色泽稳定,耐酸碱等优点。

注意事项烤瓷牙适应证包括龋洞或牙体缺损较大,充填后无法持久保持者,以及前牙龋其他方法修复不理想者。患者做完烤瓷牙后要注意护理,尽量少吃过硬、过韧、过烫的食物,做好口腔卫生工作,定期复诊、检查、维护。
